You are here: Your Home
Did you know that one in six Australian couples suffer infertility?
Infertility is the inability of a couple to conceive after a year of unprotected intercourse, or the inability to carry pregnancies to a live birth. Many couples suffering infertility problems can be successfully treated with medical or surgical techniques, or lifestyle changes.
For a fertile couple in their twenties having regular unprotected sex, the chance of conceiving each month is only 25 per cent. Infertility is shared equally among men and women. Causes of infertility are many and varied and involve male, female or a combination of factors. These include problems with:
There are degrees of infertility. The majority of infertile couples are actually sub fertile – they produce eggs and sperm but have difficulty conceiving due to disorders such as hormone imbalances and problems of the reproductive tract. Cases of total infertility – where no eggs or sperm are produced – are rare.
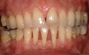
Perhaps many of you don't know that your body's health can be linked to your dental health. People with serious gum disease are more likely to have a chronic health condition on top of dental problems.
Firstly, your mouth is your gateway to your body.
Bacteria can easily build up on the teeth and make the gums prone to infection. Your immune system tries to counter this infection with reaction and the gums become swollen; this continues until the infection comes under control. Over time the inflammatory response and the body hormones released eat away at the the gums and bone structure that holds the teeth in place. The result can be a gum condition called periodontal disease. This inflammation can affect the rest of the body.
Good blood sugar control and maintaining a healthy lifestyle can significantly reduce the risk of serious complications such as heart and kidney disease, eye problems and nerve problems.
Of the 1.1 million people living with diabetes in Australia, around 85–90 per cent have type 2 diabetes. The good news is that up to 58 per cent of cases of type 2 diabetes can be prevented, or at least delayed, in the high risk (pre-diabetes) population by maintaining a healthy weight.
The main keys to long-term weight loss and reducing your waist measurement are healthy eating and regular physical activity.
Your Gympie Amcal pharmacist can give you advice on weight loss and pharmacy programs available to help you lose weight.
Bowel cancer also known as Co-rectal cancer is diagnosed in 12,500 Australians each year.
It is more common in persons over the age over 50 years, but it can occur in all ages. It is a serious disease, but because of early screening techniques and its early warning signs with the development of polyps, it means if diagnosed early, it is often curable.
The bowel includes the large intestine, the colon and the rectum. It is the body organ with the important functions of absorbing water, breaking down complex food substances and elimination of waste products. Like all organs in the body it need proper nutrition, including healthy food and the right fibre content. Poor bowel health can help the promotion of bowel polyps. The polyps are generally very slow growing and can become cancerous.
The word discipline comes from the Latin word to teach, as in disciple.
Discipline is not punishment, it is teaching your child to be responsible for their behavior and their own actions. The most
effective technique is to both constant and to teach your child that there are consequences for actions. The ultimate goal is to encourage responsibility for their own actions; this includes teaching the child to learn to both manage their feelings and behavior. This is self monitoring.